Radiofrequency Ablation (RFA)
Radiofrequency ablation (RFA) is a minimally invasive treatment, one of several types of ablation therapy, where surgery is not a good option. Guided by imaging, a thin needle or probe is inserted through the skin and into the tumor.The probe passes alternating electrical current (radiofrequency energy) through the tumor tissue generating heat at the site of the tumor. This causes tumor necrosis (cell death) and destruction of cancerous tissue.The dead cells eventually turn into a harmless scar.
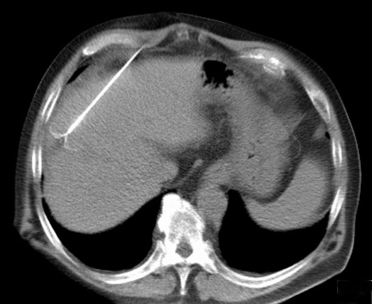
![]() |
| CT scan showing radiofrequency ablation of a liver lesion |
RFA is used to treat numerous tumors including those in the liver, bone, kidney, and lung. A key advantage is it selectively destroys cancer cells while leaving healthy cells unaffected. The size and location of tumors are a factor in whether RFA can be used.
RFA is usually performed either laparoscopically through a series of small holes in the abdomen. It can also be done through an open procedure.
